
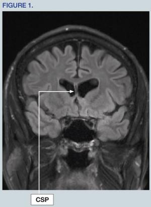
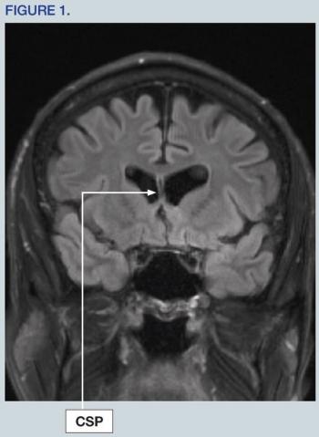
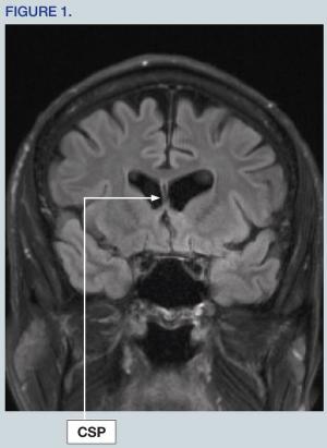
A 59-year-old man with a history of multiple concussions has been having a series of neurocognitive symptoms for the past several years. Discover more in this case.

A 59-year-old man with a history of multiple concussions has been having a series of neurocognitive symptoms for the past several years. Discover more in this case.

The collective awareness of this devastating neurodegenerative disease will likely result in intensifying efforts to improve our understanding of disease pathology as well as exploring potentially a promising therapeutic regimen.

Published: August 29th 2019 | Updated: