
Luring physicians with unusual incentives; telemedicine crosses state lines; primary-care practice makeover; and more.

Luring physicians with unusual incentives; telemedicine crosses state lines; primary-care practice makeover; and more.

Awareness about hoarding is sparking an outpouring of concern for its effect on families-especially children. Here are sample questions to ask children if you suspect he or she lives with a hoarder.

How can you ensure your patients leave your practice feeling healthier and happier? We asked 10 patients for their tips.

Which diagnostic manual do you use?

In treating a female who sexually abuses a minor, what should the clinician keep in mind? Is the treatment plan different for a female offender than a male?

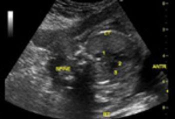
This is an ultrasound image and echocardiogram of a 28 week old fetus.

HHS Secretary Kathleen Sebelius has announced a proposed rule that would push the compliance date for ICD-10 to Oct. 1, 2014, one year past the original date.

Opponents in the now well-worn, “Bereavement Exclusion” debate can probably agree on one thing: of all the proposed changes in the DSM-5, the move to eliminate the bereavement exclusion has ignited the most intense emotional reaction among the general public.

Making cost, clinical, and service compatibility matches with referral partners pays off in five key ways.

The paradigm for modern psychiatry is evidence-based medicine (EBM)-it represents proven treatments for defined diagnoses. But there are major problems with this position, starting with the fact that while they are superior to placebo, evidence-based treatments too often are ineffective.

In the case of orthorexic thinking, clinicians, patients, and their loved ones are bombarded by the same cultural tropes about our bodies and their relationship with the environment in which we live.

Borderline Personality Disorder: New Reasons for Hope is one in a series being published by Johns Hopkins University Press on major psychiatric disorders.

In a recent interview on 60 Minutes, Harvard psychologist Irving Kirsch, PhD, commented, “the difference between the effect of a placebo and the effect of an antidepressant is minimal for most people.”

Much could be gained if an agreed minimum set of appropriate and important outcomes was measured and reported in all clinical trials in a particular area.

Planning a break from your practice for a while? Here are some tips to help you work with your partners and patients for a meaningful long-term absence.

David Cronenberg’s film "A Dangerous Method" tells the story of the relationship between Freud and Jung and a woman named Sabina who had a considerable influence on both of them.

with enough juice to jump-start a heart . . . back to the Bo Diddley beat . . . We don’t amp ourselves up to sing the body electric . . .

Insight can be assessed in the course of a typical evaluation or follow-up interview with augmentation by questions borrowed from any of the validated insight rating scales.

We know that different people, cultures, and traditions all grieve differently. Yet it is ultimately our capacity for resilience that allows each of us to process the grief-inducing event in his or her own way.

The emergence of accountable care organizations (ACOs) may spur changes in psychiatric care, especially among office-based practitioners.

My experience indicates that the SVP laws are being implemented in a highly arbitrary and idiosyncratic fashion with judges and juries easily confused by misleading expert testimony.

When thinking about recent advances in psychopharmacology, we often point to new molecules with similar mechanisms of action but with better safety and tolerability profiles, or to molecules with novel mechanisms that effect positive change greater than that with existing treatments.

Adequate treatment of the underlying psychiatric illness consistently appears to be the most effective use of medication in suicidal patients.

Several studies have been undertaken to test the efficacy of drugs in the management of aggression and hostility in patients with schizophrenia and other mood disorders.

Autism: The DSM-5 Neurodevelopmental Disorders Work Group questions the validity of a study by James McPartland and colleagues.

Agitation can be displayed in patients as loud, disruptive, hostile, sarcastic, threatening, hyperactive, and/or combative. Here are tips on managing agitated patients.

Here are 9 tips to make the process easier

The diagnostic boundary between Major Depressive Disorder and Bipolar II Disorder is one of the most difficult and also one of the most important in psychiatry.

Agitated patients who display “excessive verbal and/or motor behavior”-can be loud, disruptive, hostile, sarcastic, threatening, hyperactive, and even combative. This article discusses new best practices and guidelines for agitation.

Tuesday's oral arguments on the Affordable Care Act produced at least one truly riveting exchange.